Importancia del correcto posicionamiento del paciente en la ortopantomografía

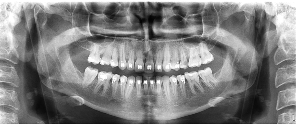
La ortopantomografía es una de las pruebas radiológicas más solicitadas en odontología. Sin embargo, su calidad depende en gran medida de la colaboración y del correcto posicionamiento del paciente, un factor clave para obtener una imagen diagnóstica fiable.


¿Por qué el posicionamiento es tan importante?
Durante la ortopantomografía, el equipo realiza un barrido alrededor de la cabeza del paciente. Si la posición no es correcta, pueden aparecer:

  • Distorsiones de la imagen
  • Dientes desenfocados o alargados
  • Superposiciones óseas
  • Pérdida de información diagnóstica


Estos errores pueden dificultar la interpretación clínica y, en algunos casos, obligar a repetir la prueba.


Pacientes con mayor dificultad de posicionamiento
La ortopantomografía requiere que el paciente:

  • Mantenga una postura estable
  • Coloque correctamente la cabeza y la lengua
  • Permanezca inmóvil durante la exposición


Esto puede ser más complicado en pacientes con dolor, movilidad reducida, ansiedad o dificultades de colaboración, afectando directamente a la calidad final de la imagen.


Limitaciones frente a otras pruebas
Cuando el posicionamiento no es óptimo o se necesita mayor detalle anatómico, la ortopantomografía puede no ser suficiente. En estos casos, el CBCT ofrece ventajas claras, ya que:

  • Es menos dependiente de pequeños errores de posición
  • Permite una visualización tridimensional
  • Aporta información más precisa en zonas concretas


RD3D Valencia: imágenes fiables desde el primer estudio
En RD3D Valencia cuidamos especialmente el posicionamiento del paciente para obtener ortopantomografías de calidad, evitando repeticiones innecesarias y garantizando imágenes útiles para el diagnóstico.


📍 RD3D Valencia – Avenida Baleares, 52 bajo, Valencia
📞 963 30 96 01 | 608 771 925
🌐 www.rd3dvalencia.es

Relacionados