
Importancia del campo de visión (FOV) en estudios CBCT
Uno de los aspectos más importantes —y a menudo desconocidos— en un estudio CBCT es la correcta elección del campo

Uno de los aspectos más importantes —y a menudo desconocidos— en un estudio CBCT es la correcta elección del campo

La ortopantomografía es una de las pruebas radiológicas más solicitadas en odontología. Sin embargo, su calidad depende en gran medida

Cuando un odontólogo solicita una prueba radiológica, muchos pacientes se preguntan por qué deben acudir a un centro especializado y

El aumento de la esperanza de vida ha hecho que cada vez más pacientes mayores mantengan sus dientes naturales durante

La enfermedad periodontal avanzada no solo afecta a las encías, sino que provoca una pérdida progresiva de hueso que puede

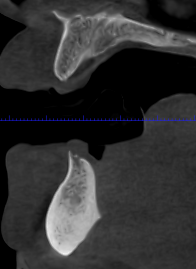
Los restos radiculares ocultos son una causa frecuente de molestias persistentes tras una extracción dental. En muchos casos, estos fragmentos

La ansiedad o el miedo al dentista es una situación más frecuente de lo que parece y puede convertirse en

Las infecciones dentales recurrentes son una causa frecuente de consulta tanto en odontología general como en cirugía oral. Pacientes que

Las extracciones complejas, especialmente de terceros molares inferiores, suponen un reto quirúrgico cuando existe cercanía entre las raíces dentarias y

El CBCT (Tomografía Computarizada de Haz Cónico) es una de las herramientas diagnósticas más importantes en la odontología actual. Su