
Radiología dental en traumatismos faciales: diagnóstico rápido y preciso
Los traumatismos faciales son lesiones frecuentes tras caídas, golpes o accidentes, y pueden afectar tanto a los dientes como a

Los traumatismos faciales son lesiones frecuentes tras caídas, golpes o accidentes, y pueden afectar tanto a los dientes como a

La elevación de seno maxilar es una técnica quirúrgica clave cuando no hay suficiente altura ósea en la zona posterior

La extracción de las muelas del juicio es una de las intervenciones más habituales en odontología y cirugía oral. Para

En odontopediatría, el diagnóstico temprano es clave para garantizar un desarrollo oral saludable. El CBCT (tomografía computarizada de haz cónico)

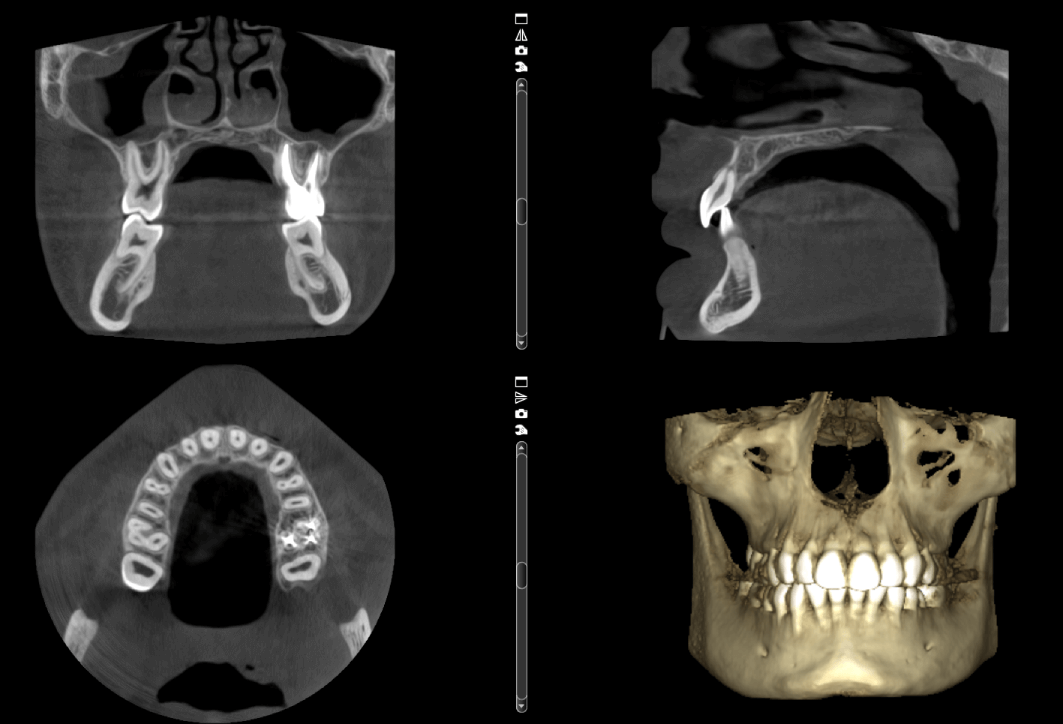
En RD3D Valencia ofrecemos estudios CBCT (Tomografía Computarizada de Haz Cónico) de los senos paranasales, una herramienta esencial en el

En nuestra clínica de radiología dental en Valencia, realizamos estudios avanzados de CBCT (escáner 3D) para evaluar la articulación temporomandibular

En nuestra clínica especializada en radiología dental y maxilofacial en Valencia, también realizamos radiografías del carpo, una prueba fundamental para

La colocación de implantes dentales es un procedimiento que requiere una planificación precisa. En nuestra clínica de radiología dental en

Una cirugía guiada se trata de un procedimiento asistido por ordenador en el que, a partir de un escaneo CBCT

Las radiografías dentales no solo son esenciales en el diagnóstico odontológico moderno, sino que también han revolucionado el campo de